3 de Agosto de 2023 às 13:19
Passageiros ficam presos a 61 m de altura após defeito em montanha-russa
3 de Agosto de 2023 às 08:17
Pandas-vermelhos gêmeos nascem no Reino Unido; espécie é ameaçada de extinção
2 de Agosto de 2023 às 23:36
Entenda por que o Congresso dos EUA passou a levar alienígenas a sério
2 de Agosto de 2023 às 17:44
Justiça condena à morte autor de ataque mais mortal contra judeus nos EUA
2 de Agosto de 2023 às 17:29
Entenda como funciona o 'pulmão de ferro', equipamento que mantém homem vivo há 70 anos
2 de Agosto de 2023 às 14:24
Executivo do Goldman Sachs é achado morto em rio após deixar boate nos EUA
2 de Agosto de 2023 às 09:24
Após esconder bolada, mulher é forçada a entregar ao ex prêmio de R$ 6 milhões que ganhou na loteria
1 de Agosto de 2023 às 18:13
Turistas lotam zoológico chinês após vídeo de urso gerar suspeitas sobre pessoa fantasiada; assista
1 de Agosto de 2023 às 17:48
Ucrânia escala guerra de drones com novo ataque a Moscou e a navios
1 de Agosto de 2023 às 15:57
Aparição de suposto "OVNI" em céu mexicano coloca pequena cidade em pânico; confira vídeo
1 de Agosto de 2023 às 13:55
Turistas morrem em travessia sob 70ºC no 'Mar da Morte', deserto na China
1 de Agosto de 2023 às 13:10
Ex-funcionário de creche é acusado de 1.623 violações e 136 estupros de crianças
31 de Julho de 2023 às 23:31
Após sucessivos recordes de calor, julho é o mês mais quente já registrado na história
31 de Julho de 2023 às 15:13
Mulher fica 90 minutos presa na boca de crocodilo e sobrevive
31 de Julho de 2023 às 14:10
Zoológico chinês é acusado de ter humanos fantasiados de bichos
29 de Julho de 2023 às 13:30
Nasa vai apresentar relatório sobre 'provas extraterrestres' no próximo mês, diz diretor
28 de Julho de 2023 às 19:36
Menino de sete anos se afoga em piscina lotada sem ninguém perceber
28 de Julho de 2023 às 18:40
Vídeo: urso invade Corolla de influencer e destrói o carro dela em segundos
28 de Julho de 2023 às 14:51
Brasileiro é preso na Itália após tentar matar a mãe a marteladas
26 de Julho de 2023 às 20:35
Serial killer mais perigoso da Inglaterra morrerá sozinho em uma caixa de vidro subterrânea trancada
26 de Julho de 2023 às 18:50
Japão registra queda recorde de população em 2022, com 800 mil cidadãos a menos
26 de Julho de 2023 às 17:59
Ex-oficial da Inteligência dos EUA diz que material biológico não-humano foi recuperado em nave alienígena
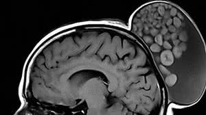
26 de Julho de 2023 às 14:51
Indiana tem cisto de 15 cm com 'saco de bolinhas' retirado da cabeça
26 de Julho de 2023 às 11:20
Vídeo: guindaste despenca e bate em prédios em Nova York; assista
+Lidas