Cientistas identificam novo parasita que já infectou mais de cem pessoas no Nordeste

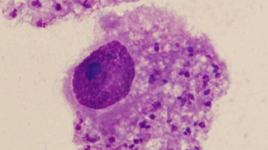
Um parasita microscópico que até hoje não tinha sido identificado pela ciência já infectou mais de uma centena de pessoas no Nordeste, causando lesões graves no fígado, no baço e na pele e matando pelo menos um desses pacientes. As caracter&iacu...

Publicado em 30/09/2019, às 16h29
Imagem Cientistas identificam novo parasita que já infectou mais de cem pessoas no Nordeste

Por Folha de São Paulo

Um parasita microscópico que até hoje não tinha sido identificado pela ciência já infectou mais de uma centena de pessoas no Nordeste, causando lesões graves no fígado, no baço e na pele e matando pelo menos um desses pacientes.

As características da doença lembram a leishmaniose visceral, moléstia endêmica na região, normalmente causada pelo protozoário Leishmania infantum. Mas a análise do DNA do micro-organismo revelou que se trata de um parasita novo, cujos parentes mais próximos costumam infectar apenas insetos.

Os dados acabam de ser publicados por pesquisadores da UFSCar (Universidade Federal de São Carlos), da Universidade Federal de Sergipe e da USP de Ribeirão Preto na revista especializada Emerging Infectious Diseases.

A equipe ainda não sabe como o micróbio acabou infectando os 141 pacientes que eles conseguiram rastrear até agora (o número real de afetados pode, é claro, ser muito mais alto).

O causador da leishmaniose é transmitido pelo chamado mosquito-palha ou flebotomíneo. Entretanto, os primos mais próximos do novo parasita, que pertencem ao gênero Crithidia, costumam estar presentes no organismo de anofelinos (os transmissores da malária) e mosquitos do gênero Culex, como o pernilongo comum.

“O que a gente sabe é que, nesse grupo de protozoários, a transição em que a espécie deixa de ser um parasita que afeta apenas insetos e passa a infectar também vertebrados acontece nos casos em que o inseto se alimenta de sangue”, explica a bióloga Sandra Maruyama, da UFSCar, uma das autoras do estudo. “Estudar esse protozoário pode ser uma ferramenta importante para entender como o salto acontece.”

Além disso, as implicações para a saúde pública podem ser consideráveis. O novo parasita só acabou sendo flagrado porque produzia sintomas inesperados —feridas avermelhadas na pele do corpo todo, em vez das feridas mais localizadas que o Leishmania normalmente causa, por exemplo — e não respondia ao tratamento tradicional.

“Mas que diabo será isso?” foi a reação de João Santana da Silva, da USP de Ribeirão Preto, quando análises de DNA preliminares indicaram que o micro-organismo, até então considerado apenas outra variante de Leishmania resistente a medicamentos, mostrou não ter parentesco próximo com as formas já conhecidas.

A confusão é compreensível porque, ao microscópio, muitos protozoários desse grande grupo, que inclui também o causador do mal de Chagas, são bastantes parecidos uns com os outros. “Hoje a gente já percebe que, enquanto o Leishmania é mais alongado e tem um flagelo [“cauda”] comprido, o novo parasita é mais achatado, com flagelo mais curto”, aponta Maruyama.

Uma clareza maior acerca do enigma veio com a “leitura” completa do genoma do micro-organismo e de sua comparação detalhada com o de outros protozoários. Há diferenças substanciais entre o DNA dele e o das várias espécies de Leishmania, a começar pelo tamanho do “livro” do genoma: 33 milhões de pares de letras químicas de DNA no caso do causador da leishmaniose contra cerca de 54 milhões no novo parasita (o genoma humano, bem mais prolixo, chega a 3 bilhões).

Os dados genômicos concluem uma história que começou em 2010, quando Roque Pacheco Almeida, do Departamento de Medicina da Universidade Federal de Sergipe, teve o primeiro contato com o paciente que, após três tentativas de tratamento, acabou morrendo.

“Nesse caso, temos certeza da causa. Estamos investigando outro caso, no qual o paciente também não respondia ao tratamento e perdemos contato com ele. Outro morreu recentemente, com achados clínicos fora do esperado. Estamos verificando se foi pelo mesmo parasita”, conta Almeida.

Ele lembra que, segundo o Ministério da Saúde, Sergipe tem uma taxa elevada de mortalidade causada por leishmaniose visceral —cerca de 15% dos infectados, enquanto o normal seria 6%. “Talvez estejamos diante de um grande problema decorrente da presença de um novo agente infeccioso, para o qual não dispomos ainda de terapêutica adequada.”

De fato, ainda há muito a fazer para compreender a natureza e a ação do parasita. Os pesquisadores agora pretendem entender o ciclo de vida da espécie, identificando os insetos capazes de transmiti-la e outros possíveis hospedeiros (já se sabe que o micro-organismo é capaz de causar manifestações da doença em camundongos, por exemplo).

É esperado que o avanço de mudanças climáticas e ambientais coloquem a população em contato cada vez mais frequente com novos causadores de doenças, em especial em regiões tropicais como o Brasil. “Estudar essa espécie pode funcionar como uma escola para enfrentar esse desafio”, diz Santana da Silva.

O trabalho foi realizado no âmbito do Crid (Centro de Pesquisa em Doenças Inflamatórias) e do programa Jovem Pesquisador em Centros Emergentes, ambos criados com financiamento da Fapesp (Fundação de Amparo à Pesquisa do Estado de São Paulo). Também participaram do estudo pesquisadores da Fiocruz e dos Institutos Nacionais de Saúde dos EUA.

Gostou? Compartilhe