Mãe alerta sobre como vape contribuiu para morte de filho aos 20 anos: 'Pulmão não reagiu'

"Não foi o vape que causou a morte do meu filho, mas o pulmão dele ficou comprometido pelo uso do vape e não conseguiu reagir a uma bactéria". O relato é de Lia Paiva, mulher do ex-jogador Serginho e mãe de Diego Paiva dos Santos, de 20 anos.

Publicado em 12/10/2024, às 22h10
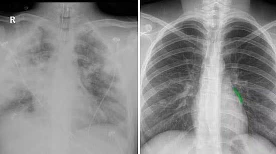
Do lado esquerdo, imagem do pulmão de Diego todo comprometido. Do lado direito, a imagem de um pulmão saudável | Divulgação
Do lado esquerdo, imagem do pulmão de Diego todo comprometido. Do lado direito, a imagem de um pulmão saudável | Divulgação

Por g1

"Não foi o vape que causou a morte do meu filho, mas o pulmão dele ficou comprometido pelo uso do vape e não conseguiu reagir a uma bactéria".

O relato é de Lia Paiva, mulher do ex-jogador Serginho e mãe de Diego Paiva dos Santos, de 20 anos. O jovem morreu em 7 de agosto após um infarto pulmonar. Conhecido também como embolia pulmonar, a condição atrapalha a passagem de sangue do coração para o pulmão, comprometendo a oxigenação e podendo levar ao óbito.

Lia contou ao g1 que Diego machucou o ombro no jiu-jitsu. Primeiro, a família pensou que fosse apenas uma lesão. Ele fez um raio-X do ombro, ressonância, passou por um ortopedista e nada foi encontrado, só uma inflamação. Dias depois, ele voltou ao hospital porque a dor não parou.

"Ele foi ao hospital depois de muita briga. Meia hora depois ele estava intubado, com 46% de saturação, pulmão péssimo. Fizeram os exames e descobriram que era uma bactéria que entrou através de um furúnculo. Acreditamos que ele se contaminou no tatame e a bactéria ficou alojada no ombro. Ele entrou com quadro de choque séptico e foi para a UTI", relata a mãe.

Segundo Lia, os médicos estavam otimistas com a recuperação do jovem.

"Em quatro dias, o fígado melhorou, o rim melhorou. O antibiótico estava fazendo efeito em todas as partes comprometidas, inclusive no coração. Mas faltava o pulmão. E aí viram que um pulmão já tinha ido e, na madrugada, ele teve o infarto pulmonar no outro pulmão e veio a óbito".

Ela usou a imagem de um pulmão saudável (acima, esquerda, com tons mais escuros) para comparar com o pulmão do filho (acima, na direita, imagem esbranquiçada). "Ele nem pulmão tinha de tanta infecção".

A mãe diz que o vape contribuiu para a morte do filho.

"A causa maior foi a bactéria, mas o pulmão não reagiu pelo uso excessivo do vape".

Diego fumava o vape desde os 15 anos. Ou seja, cinco anos usando o dispositivo. A mãe conta que ele fumava muito e que tentava convencê-lo a parar.

"Ele fumava compulsivamente. Eu mandava vários textos sobre o assunto e ele não acreditava. Eu jogava o vape fora, ele comprava outro. Ele teve Covid duas vezes e não teve problema, mas o médico já havia alertado que o pulmão estava comprometido. Ele pediu para levar o vape para o hospital", conta.

Margareth Dalcolmo, pneumologista e presidente da Sociedade Brasileira de Pneumologia e Tisiologia (SBPT), explica que o processo inflamatório e a destruição da arquitetura pulmonar feitos pelos cigarros eletrônicos é grave e indelével.

"O número de substâncias é muito grande e nem sabemos todas. Sabemos que além de nicotina, que é uma centena de vezes superior ao cigarro tradicional, o jovem adicto fuma o equivalente a 400 cigarros por semana. Ele fica adicto em cinco dias e o dano pulmonar é como se tivesse um enfisema pulmonar agudo", comenta a pneumologista.

O vape e seus riscos - O cigarro eletrônico, conhecido como vape, é proibido no Brasil desde 2009. Mas isso não impede que ele seja facilmente encontrado no comércio ou online. Além disso, dados do IPEC apontam que o número de usuários de cigarro eletrônico quadriplicou no Brasil em quatro anos: saltou de 500 mil em 2018, para 2,2 milhões de usuários em 2022.

Outros números mostram que a proibição, na prática, não influencia no uso. De acordo com uma pesquisa da Universidade Federal de Pelotas realizada com 10 mil brasileiros, quase 20% dos jovens entre 18 e 24 anos já experimentaram vapes. O IBGE traz outro número alarmante: quase 17% dos estudantes de 13 a 17 anos já experimentaram os cigarros eletrônicos.

Uma pesquisa realizada Vigilância Sanitária da Secretaria de Estado da Saúde de São Paulo em parceria com o Instituto do Coração (Incor) e o Laboratório de Toxicologia da Faculdade de Medicina da USP apontou que o vape provoca até seis vezes mais intoxicação por nicotina do que cigarro convencional.

“O estudo indica que a intoxicação por nicotina em quem usa o cigarro eletrônico é tão alta quanto, ou até pior, que nos usuários de cigarro tradicional. Também foi notado uma falta de conhecimento entre os mais jovens sobre os riscos de dependência", apontou Jaqueline Scholz, diretora do Núcleo de Tabagismo do Incor e coordenadora da pesquisa.

Já um estudo feito pela Universidade Federal de Santa Catarina em parceria com a Polícia Científica do estado encontrou nos cigarros eletrônicos a octodrina, uma substância semelhante à anfetamina. Ela entra para a lista de outras substâncias, como glicerol, propilenoglicol, formaldeído, acetaldeído, acroleína, acetona e nicotina. Elas são tóxicas, cancerígenas e a nicotina atua para viciar.

"Eu considero os dispositivos eletrônicos para fumar uma invenção diabólica da indústria do tabaco. Tenho atendido jovens de 16 a 22 anos com uma adicção muito grande, dificuldade de largar o vício. É uma dependência muito rápida", pontua Margareth Dalcolmo.

Gostou? Compartilhe